神经免疫代谢(Neuro-immunometabolism)正重塑我们对慢性神经炎症的认知,并被证实为阿尔茨海默病(Alzheimer’s disease, AD)病理进程的核心驱动机制。研究表明,小胶质细胞的功能状态与其代谢模式紧密耦合。在这一框架下,琥珀酸不仅是三羧酸循环的代谢中间产物,更被确认为一种关键的免疫代谢物(immunometabolite)。在炎症状态下,琥珀酸可从细胞内释放至胞外,通过激活其受体SUCNR1,驱动并维持慢性神经炎症,从而加速AD的病理进展。因此,靶向“代谢-免疫”这一交叉节点,已成为AD干预的全新策略。
徐世军教授团队聚焦神经免疫代谢,深入解析了加味芎归汤通过调控神经免疫代谢缓解AD独特作用,相关研究成果于2026年2月14日以“SUCNR1-Driven Microglial Polarization: Jiawei Xionggui Decoction as a Therapeutic Strategy for Alzheimer’s-Related Neuroinflammation”为题,在线发表于国际知名期刊Phytomedicine(中科院1区,IF=8.3)。
1、研究内容
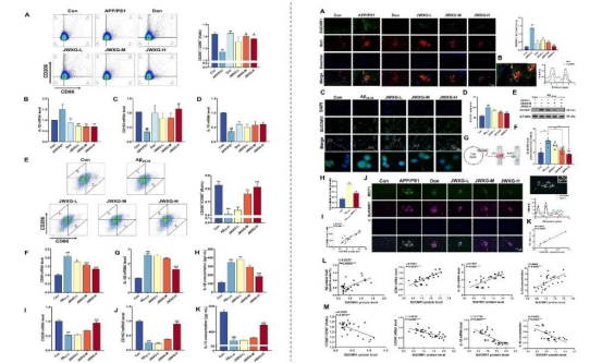
研究首先证实了加味芎归汤可通过神经保护和促进Aβ的小胶质细胞吞噬减轻了APP/PS1转基因小鼠的认知损害。
进一步研究发现,在APP/PS1转基因AD小鼠脑组织中,SUCNR1呈现异常高表达,且其表达水平与小胶质细胞M1型极化标志物及Aβ沉积水平显著正相关,证实了SUCNR1在介导AD病程中小胶质细胞炎性极化中的关键作用。在此基础上,加味芎归汤通过抑制SUCNR1表达,有效阻断“琥珀酸-MCT1-SUCNR1”信号轴,抑制糖酵解依赖的M1型小胶质细胞极化,并促进其向OXPHOS依赖的M2型代谢模式转换,从而增强小胶质细胞对Aβ的吞噬清除能力,最终改善模型小鼠的认知功能。该研究揭示了加味芎归汤通过调控神经免疫代谢重塑小胶质细胞功能状态的新机制。
为确证SUCNR1在加味芎归汤干预效应中的核心地位,团队进一步构建了Sucnr1基因敲除小鼠及BV-2细胞敲除模型。结果显示,在SUCNR1缺失条件下,加味芎归汤的抗炎及促小胶质细胞极化效应被显著削弱,提示该复方主要通过靶向SUCNR1发挥治疗作用。
总结
本研究首次揭示了加味芎归汤通过靶向SUCNR1调控小胶质细胞极化的新机制,为中医药干预阿尔茨海默病(AD)提供了直接的现代科学证据。更重要的是,该发现从神经免疫代谢视角,为AD的“代谢炎症假说”贡献了来自中药复方干预的有力支撑,提示SUCNR1可作为连接免疫-代谢的关键枢纽,具备重要的临床转化潜力。这不仅为该方的临床应用奠定了坚实的理论基础,同时明确了SUCNR1作为AD干预新靶点的关键地位,为该病的治疗策略开辟了新方向。

文献来源:Liu Y, Yang H, Zhang S, Xiang J, Luo S, Wen W, Wang P, Xu S. SUCNR1-driven microglial polarization: Jiawei Xionggui decoction as a therapeutic strategy for Alzheimer's-related neuroinflammation. Phytomedicine. 2026 Apr;153:157978. doi: 10.1016/j.phymed.2026.157978. Epub 2026 Feb 14. PMID: 41747588.